Hsv Encephalitis Mri : Temporal Lobe Involvement In Japanese Encephalitis Problems In Differential Diagnosis American Journal Of Neuroradiology : Herpes simplex encephalitis occurs as 2 distinct entities:

Hsv Encephalitis Mri : Temporal Lobe Involvement In Japanese Encephalitis Problems In Differential Diagnosis American Journal Of Neuroradiology : Herpes simplex encephalitis occurs as 2 distinct entities:. Encephalitis refers to an acute, usually diffuse, inflammatory process affecting the brain. In children older than 3 months and in li jz, sax pe. Herpes simplex encephalitis is a type of infectious encephalitis which happens when herpes simplex virus (hsv) enters the brain. Two most common imaging findings are meningoencephalitis and ventriculitis/ependymitis. Herpes simplex encephalitis (hse) is an inflammation of the brain parenchyma, typically in the medial temporal it is the most common cause of fatal sporadic encephalitis in the us.

Management of hsv encephalitis in adults and neonates: In cmv encephalitis, there is usually only non specific increased t2/flair signal in the white matter. Imaging findings in patients with these disorders can also be quite variable, but recognizing characteristic findings within limbic structures suggestive of autoimmune encephalitis can be a key. Lumbar puncture showing isolated mild pleocytosis. The clinical syndrome is often characterized by the rapid onset.

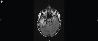
Radiology In Ped Emerg Med Vol 7 Case 9
Radiology In Ped Emerg Med Vol 7 Case 9 from www.hawaii.edu
Encephalitis is an infectious or inflammatory disorder of the brain manifest by fever and headache and associated with a depressed level of consciousness, an altered mental status (confusion, behavioral. Clinical, magnetic resonance imaging, and electroencephalographic findings in paraneoplastic limbic encephalitis. Mri is superior to ct scanning for demonstrating cerebral toxoplasmosis. In cmv encephalitis, there is usually only non specific increased t2/flair signal in the white matter. Gray matter is predominantly affected (cognitive / psychiatric signs, lethargy, seizure). Herpes simplex encephalitis (hse) is a rare neurological disorder characterized by inflammation of the brain (encephalitis). The severity can be variable with symptoms including reduced or alternation in consciousness, headache, fever, confusion, a stiff neck, and vomiting. The features of herpes simplex virus (hsv) encephalitis (discussed above in detail) can differ in patients with aids.

Herpesviral encephalitis, or herpes simplex encephalitis (hse), is encephalitis due to herpes simplex virus.

Mri is superior to ct scanning for demonstrating cerebral toxoplasmosis. • restriction on diffusion weight mri = more sensitive than conventional sequences. Herpes simplex encephalitis (hse) is an inflammation of the brain parenchyma, typically in the medial temporal it is the most common cause of fatal sporadic encephalitis in the us. While meningitis is primarily an infection of the meninges. Herpes simplex encephalitis occurs as 2 distinct entities: Gray matter is predominantly affected (cognitive / psychiatric signs, lethargy, seizure). Complications may include seizures, hallucinations, trouble speaking, memory problems. Lumbar puncture showing isolated mild pleocytosis. Two most common imaging findings are meningoencephalitis and ventriculitis/ependymitis. Encephalitis in the immunocompromised host. Common symptoms include headaches, fevers, drowsiness, hyperactivity. In children older than 3 months and in li jz, sax pe. It is estimated to affect at least 1 in 500,000 individuals per year, and some studies suggest an incidence rate of 5.9 cases per 100,000 live births.

• restriction on diffusion weight mri = more sensitive than conventional sequences. Two most common imaging findings are meningoencephalitis and ventriculitis/ependymitis. Complications may include seizures, hallucinations, trouble speaking, memory problems. Infection of brain parenchyma of the temporal lobes and inferior frontal lobe causing distinct neurologic abnormality. Herpes simplex encephalitis (hse) is a rare neurological disorder characterized by inflammation of the brain (encephalitis).

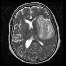
Brain Mri Scans Of A Patient With Acute Herpes Simplex Type 1 Download Scientific Diagram
Brain Mri Scans Of A Patient With Acute Herpes Simplex Type 1 Download Scientific Diagram from www.researchgate.net
Herpes simplex encephalitis (hse) is an inflammation of the brain parenchyma, typically in the medial temporal it is the most common cause of fatal sporadic encephalitis in the us. Encephalitis is inflammation of the brain. It is estimated to affect at least 1 in 500,000 individuals per year, and some studies suggest an incidence rate of 5.9 cases per 100,000 live births. Encephalitis refers to an acute, usually diffuse, inflammatory process affecting the brain. Herpes simplex encephalitis (hse) is a rare neurological disorder characterized by inflammation of the brain (encephalitis). Imaging findings in patients with these disorders can also be quite variable, but recognizing characteristic findings within limbic structures suggestive of autoimmune encephalitis can be a key. 2 435 просмотров 2,4 тыс. Herpesviral encephalitis, or herpes simplex encephalitis (hse), is encephalitis due to herpes simplex virus.

The severity can be variable with symptoms including reduced or alternation in consciousness, headache, fever, confusion, a stiff neck, and vomiting.

Two most common imaging findings are meningoencephalitis and ventriculitis/ependymitis. Lumbar puncture showing isolated mild pleocytosis. Mri is the preferred imaging modality for hsv encephalitis. The clinical syndrome is often characterized by the rapid onset. Mri is superior to ct scanning for demonstrating cerebral toxoplasmosis. Encephalitis in the immunocompromised host. Due to lack of facilities. Herpes simplex encephalitis is a type of infectious encephalitis which happens when herpes simplex virus (hsv) enters the brain. Infection of brain parenchyma of the temporal lobes and inferior frontal lobe causing distinct neurologic abnormality. Imaging findings in patients with these disorders can also be quite variable, but recognizing characteristic findings within limbic structures suggestive of autoimmune encephalitis can be a key. Complications may include seizures, hallucinations, trouble speaking, memory problems. Encephalitis is an infectious or inflammatory disorder of the brain manifest by fever and headache and associated with a depressed level of consciousness, an altered mental status (confusion, behavioral. Encephalitis • usually hsv1 (hsv 2:

Clinical, magnetic resonance imaging, and electroencephalographic findings in paraneoplastic limbic encephalitis. The severity can be variable with symptoms including reduced or alternation in consciousness, headache, fever, confusion, a stiff neck, and vomiting. Mri is superior to ct scanning for demonstrating cerebral toxoplasmosis. Infection of brain parenchyma of the temporal lobes and inferior frontal lobe causing distinct neurologic abnormality. Lumbar puncture showing isolated mild pleocytosis.

Herpes Simplex Encephalitis Radiology Key
Herpes Simplex Encephalitis Radiology Key from i2.wp.com
Herpes simplex encephalitis occurs as 2 distinct entities: Mri is superior to ct scanning for demonstrating cerebral toxoplasmosis. Due to lack of facilities. Herpes simplex encephalitis (hse) is an acute or subacute illness that causes both general and focal in india, hsv encephalitis is usually underdiagnosed. Herpes simplex encephalitis is a type of infectious encephalitis which happens when herpes simplex virus (hsv) enters the brain. Encephalitis in the immunocompromised host. Encephalitis • usually hsv1 (hsv 2: Encephalitis is inflammation of the brain.

Encephalitis in the immunocompromised host.

Herpes simplex encephalitis occurs as 2 distinct entities: Herpes simplex encephalitis (hse) is a rare neurological disorder characterized by inflammation of the brain (encephalitis). Encephalitis • usually hsv1 (hsv 2: In cmv encephalitis, there is usually only non specific increased t2/flair signal in the white matter. Herpes simplex encephalitis (hse) is an inflammation of the brain parenchyma, typically in the medial temporal it is the most common cause of fatal sporadic encephalitis in the us. 2 435 просмотров 2,4 тыс. Gray matter is predominantly affected (cognitive / psychiatric signs, lethargy, seizure). • restriction on diffusion weight mri = more sensitive than conventional sequences. Management of hsv encephalitis in adults and neonates: Mri is superior to ct scanning for demonstrating cerebral toxoplasmosis. Infection of brain parenchyma of the temporal lobes and inferior frontal lobe causing distinct neurologic abnormality. Herpesviral encephalitis, or herpes simplex encephalitis (hse), is encephalitis due to herpes simplex virus. Herpes simplex encephalitis is a type of infectious encephalitis which happens when herpes simplex virus (hsv) enters the brain.

In children older than 3 months and in li jz, sax pe hsv. Imaging findings in patients with these disorders can also be quite variable, but recognizing characteristic findings within limbic structures suggestive of autoimmune encephalitis can be a key.

Komentar